











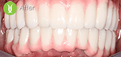
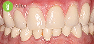
Dentures are a common solution for replacing missing teeth and restoring the function and aesthetics of the mouth.Hybrid dentures and overdentures are two types of dentures that provide a more secure and stable fit than traditional removable dentures. However, like any dental prosthesis, hybrid dentures and overdentures may require repair or replacement over time due to wear and tear, damage, or changes in the mouth.




Reasons for fixing hybrid dentures and overdentures.
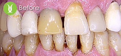
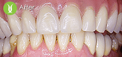
One of the most common reasons for fixing hybrid dentures and overdentures is loose or ill-fitting dentures. When dentures do not fit properly, they can move or slip during eating, speaking, or smiling, causing discomfort, embarrassment, and difficulty performing daily activities. In addition, loose dentures can cause sore spots, gum irritation, and inflammation, which can lead to infection and further dental problems.
Another reason for fixing hybrid dentures and overdentures is pain and discomfort.
If dentures are too tight or too loose, they can cause pressure or rubbing on the gums, tongue, or cheeks, leading to pain, soreness, and even ulcers. Moreover, dentures that are not properly balanced or adjusted can cause headaches, neck pain, and jaw stiffness, affecting the overall quality of life.
Difficulty eating and speaking is another common reason for fixing hybrid dentures and overdentures.
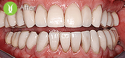
When dentures are loose or damaged, they can interfere with the ability to chew, bite, and swallow food properly, leading to digestive problems, malnutrition, and weight loss.
In addition, dentures that do not fit well can cause slurred speech, lisping, or mumbling, affecting communication and social interactions.
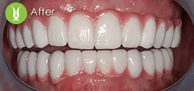
Lastly, embarrassment and self-consciousness are significant reasons for fixing hybrid dentures and overdentures.
When dentures look or feel unnatural, people may feel ashamed or anxious about their appearance or behavior, leading to low self-esteem, social isolation, and depression.








NOVA DENTAL Advanced Dental Center is a full dental service located in Plaza Itzkatzu in San José, Costa Rica. Our services include partial or complete cosmetic restoration, dental implants all on 4, endodontics and routine dentistry.
Address: Plaza Itzkatzú Escazú, San José, Costa Rica.
Mon 9:00 – 19:00
Tue 9:00 – 19:00
Wed 9:00 – 19:00
Thur 9:00 – 19:00
Fri 9:00 – 19:00
Sat and Sun Closed